Міфи про вініри: що правда, а що – ні? У цьому пустотному світі з інформаційним шумом важко відрізнити факт від вигадки, особливо коли йдеться про популярні косметичні процедури. Вініри — це одна з таких процедур, що дозволяє вдосконалити зовнішній вигляд зубів. Проте навколо них завжди витає хмара міфів, яка може змусити вас вагатися перед їх встановленням. Якщо ви потребуєте глибшої інформації, зверніться за професійною консультацією на сайті dr.miller.vn.ua або ж продовжуйте читати, щоб з’ясувати правду.
- Міф 1: Вініри — це боляче і травматично для зубів
- Міф 2: Вініри не можуть бути довговічними, вони швидко ламаються
- Секрет довголіття вінірів
- Міф 3: Вініри потребують складного та дорогого догляду
- Міф 4: Вініри підходять тільки для людей з ідеальними зубами
- Міф 5: Вініри — це постійне рішення, і зуби не можна буде відновити після їх установки
- Міф 6: Вініри можуть викликати алергію
Міф 1: Вініри — це боляче і травматично для зубів
Отже, хтось вам сказав, що встановлення вінірів — це як біль у зубі? Давайте розглянемо цей міф. Люди часто думають, що в процесі установки великий шматок зуба згризають, забирають із собою начебто частину вас, але це не так. Уся процедура виконується з максимальною обережністю та передбачає місцеву анестезію. Імплантація цих дивоспроможних пластинок зазвичай вимагає зняти лише невелику частину емалі. Мінімально прикрашає, і нічого більше!

Міф 2: Вініри не можуть бути довговічними, вони швидко ламаються
Здається, що їхня тендітність — це лише питання часу, однак ця побоювана уява не зовсім відповідає дійсності. Насправді, вони можуть служити справно протягом десяти-двадцяти років! І навіть більше, якщо слідувати рекомендаціям лікаря. У стоматологічній клініці dr.miller.vn.ua застосовують лише найкращі матеріали, такі як порцеляна і композит, що забезпечують надійність і довговічність. Для їх довгого життя потрібно лише дотримуватися звичайних правил догляду та уникати зайвих навантажень, як, наприклад, кусання твердих предметів.
Секрет довголіття вінірів
- Дотримуйтесь рекомендацій стоматолога.
- Використовуйте якісні матеріали.
- Уникайте зайвих навантажень.
- Періодично перевіряйте стан у стоматолога.
Міф 3: Вініри потребують складного та дорогого догляду
Ще один міф, що встановлення вінірів обтяжує вас складним доглядом. Ні, це зовсім не так. Догляд за ними нічим не відрізняється від звичайного догляду за зубами! Знайдіть щітку, ниточку та, звісно, періодичні візити до стоматолога. Що ж може бути простіше? Зрозуміло, що доведеться пожертвувати кількістю споживання кави, червоного вина чи тютюну, але це не так вже й важко.
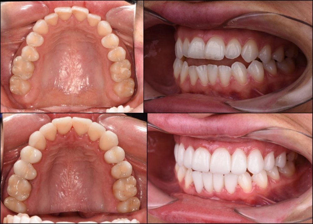
Міф 4: Вініри підходять тільки для людей з ідеальними зубами
Дехто вважає, що вініри підходять лише для тих, у кого немає «господарських проблем» з зубами. Виклик прийнято! Вони створені для людей, які мають різні недосконалості:
- нерівності;
- тріщини;
- зуби з потемнінням;
- невеликі дефекти;
- дрібні відстані між зубами.
Ось так, вініри можуть стати частиною вашої ідеальної посмішки навіть у випадку неідеальних зубів.

Міф 5: Вініри — це постійне рішення, і зуби не можна буде відновити після їх установки
Давайте поглянемо правді в очі — встановлення вінірів справді одна з тих процедур, які змінюють вас назавжди, адже частина емалі видаляється. Проте це не причина панікувати, оскільки подальші зміни або навіть відновлення можливе. Їх можна знімати й замінити, або ж відновити у разі потреби. Іншими словами, не потрібно боятися необоротних наслідків.
Міф 6: Вініри можуть викликати алергію
Що, справді? Насправді, ці пластинки, виготовлені з гіпоалергенних матеріалів, не викликають алергії у звичайних випадках. Однак, якщо у вас є специфічні алергічні реакції на певні матеріали, це питання краще обговорити з вашим стоматологом. Будьте спокійні, вони знайдуть рішення, яке підходить саме вам.
Висновок:
Міфи — це частина нашого буття, але коли йдеться про здоров’я, не довіряйте чуткам. Порадьтесь з професіоналом, отримайте достовірну інформацію і радійте своїй новій усмішці!







